Lun - Ven - 9:00 - 18:00, Sam - 9:00 - 13:00
05222-73367
          
Les Maladies

Le Cancer du Rein

Le Cancer du Rein

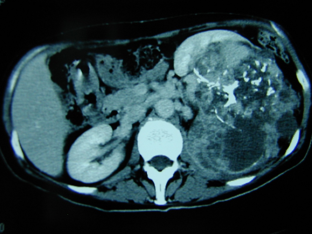
Le cancer du rein est une tumeur maligne développée à partir du tissu rénal qui représente 3% de l’ensemble des cancers. Son incidence est en constante augmentation dans les pays industrialisés.
La surcharge pondérale, l’hypertension artérielle et l’intoxication tabagique en sont les principaux facteurs de risque.
Le diagnostic de cancer du rein est le plus souvent fortuit; parfois, il se révèle suite à des douleurs lombaires ou du sang dans les urines mais ces symptômes, peu spécifiques, se rencontrent aussi dans de nombreuses pathologies bénignes. L’âge moyen au moment du diagnostic est de 62 ans.
Le traitement du cancer du rein est le plus souvent chirurgical; l’intervention consiste à retirer l’ensemble du rein ou seulement la tumeur (en fonction de sa taille et de sa localisation).
La chirurgie partielle du rein consiste ainsi à préserver au mieux le parenchyme rénal sain; cette technique, pratiquée à Necker depuis le début des années 1980, est depuis 2004 le traitement de référence des petites tumeurs rénales.
La chirurgie rénale peut être réalisée le plus souvent par coelioscopie, c’est à dire en introduisant les instruments par des petites incisions sous le contrôle d’une caméra vidéo intra-corporelle. Dans certains cas, il est nécessaire de pratiquer une incision abdominale ou lombaire.
Il s’agit dans tous les cas d’une chirurgie d’un haut niveau de technicité, pratiquée par des opérateurs entraînés.

PRENDRE UN RDV EN LIGNE AVEC DR. KSIKES MOUHSINE !

Urologue à Casablanca
<